Logo UPO, Università del Piemonte Orientale
Cambia lingua
Main content

Avviso unico per il conferimento mediante affidamento esterno o contratto a titolo retribuito di un incarico di insegnamento attivato presso il Dipartimento per lo Sviluppo Sostenibile e la Transizione Ecologica per il Master di primo livello SISTEM

Stato Scaduto

Tipologia Bando Bando

Target
Docente
Esterni
Laureato
Personale TA

Skill-up day all'UPO: gli studenti del DISIT vincono il premio per il miglior progetto

Con un'idea che sfrutta diverse AI per ottimizzare i processi di selezione del personale, il gruppo di studenti del terzo anno del corso di studi in Informatica del Dipartimento di Scienze e innovazione tecnologica vince il premio per il miglior progetto durante il “Skill Up Day” del 25 marzo scorso presso il Campus Perrone.

Argomento Studenti

Data di pubblicazione 31 Marzo 2025

Gianluca Mastrolonardo, Stefano Raviola ed Emanuele Marzone, studenti del terzo anno del CdL in Informatica DISIT

“Progetto Carla Nespolo”: le vincitrici delle borse di studio

Il “Progetto Carla Nespolo”, che porta il nome del prima donna a guidare l'Associazione Nazionale Partigiani, grazie all'impegno di tutti i partner e al contributo generoso della Fondazione Cassa di Risparmio di Alessandria ha permesso l'assegnazione di 7 borse di studio a studentesse e ricercatrici UPO, per un totale di circa 15 mila euro. Il podio è tutto al femminile.

Argomento Studenti

Data di pubblicazione 31 Marzo 2025

“Progetto Carla Nespolo”

Il professor Mario Ronga è il nuovo presidente della SIAGASCOT

Il professor Ronga è l’ortopedico più giovane a ricoprire la presidenza SIAGASCOT. Il passaggio di consegne è avvenuto durante il quarto Annual Meeting societario che si è svolto dal 27 al 29 marzo, a Napoli.

Argomento Scienza e Ricerca

Data di pubblicazione 31 Marzo 2025

Mario Ronga

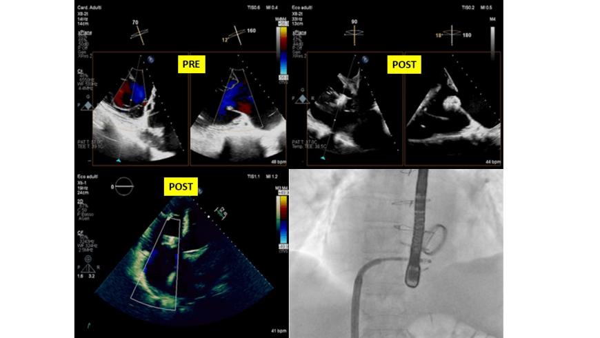
All'AOU di Novara varata la tecnica "Sandokan" per curare l'insufficienza tricuspidalica

L'équipe di Cardiologia Interventistica dell'Azienda ospedaliero-universitaria "Maggiore della Carità" di Novara, guidata dal professor Giuseppe Patti, ha sperimentato con successo una nuova tecnica per il trattamento dell'insufficienza tricuspidalica.

Argomento Scienza e Ricerca

Data di pubblicazione 31 Marzo 2025

Tecnica Sandokan

Il professor Francesco Bavagnoli ha tenuto la conferenza "Storie di ordinaria follia finanziaria"

Dalla Crisi dei tulipani del 1600, alla Dot-com Bubble della fine degli anni Novanta, fino ai cosiddetti "titoli meme" come Gamestop, il professore del Dipartimento di Studi per l’economia e l’impresa ha accompagnato il numeroso pubblico in sala in un viaggio tra i momenti storici in cui i mercati hanno "perso la testa".

Argomento Persone

Data di pubblicazione 02 Aprile 2025

Storie di ordinaria follia finanziaria

"Territori, sviluppo e inclusione sociale. Il caso di Felizzano e Quattordio nella seconda metà del Novecento". Lezione aperta a Palazzo Borsalino

Al DIGSPES una lezione aperta per considerare un caso emblematico di sviluppo territoriale connesso a dinamiche di immigrazione e inclusione sociale in relazione alle trasformazioni economiche, sociali, culturali e istituzionali. L'incontro è l'occasione per presentare lo studio "Vicini e diversi. Felizzano e Quattordio dal dopoguerra alle soglie del Duemila" (Rubbettino, 2023) .

Argomento Open Campus

Luogo DIGSPES, Palazzo Borsalino Aula 102

Quando 9 Aprile 2025, 10:00 - 12:00

"Territori, sviluppo e inclusione  sociale. Il caso di Felizzano e Quattordio nella seconda metà del Novecento"
Struttura di appartenenza
Ateneo
Digspes

Al DIGSPES l'incontro "Profili critici del c.d. DDL sicurezza (C. 1660 - S. 1236)"

A Palazzo Borsalino un appuntamento organizzato dal Dipartimento di Giurisprudenza e Scienze politich, economiche e sociali (DIGSPES), dalla Camera Penale di Alessandria e dall'Ordine degli Avvocati di Alessandria per esaminare ed approfondire le implicazioni sociali e giuridiche del disegno di legge n. 1236 (cd. ddl sicurezza).

Argomento Scienza e Ricerca

Luogo DIGSPES, Palazzo Borsalino Aula 108

Quando 2 Aprile 2025, 15:30 - 16:30

Profili critici del c.d. “DDL sicurezza” (C. 1660-S. 1236), 2 aprile a Palazzo Borsalino
Struttura di appartenenza
Ateneo
Digspes

Bando 03/2025 procedura comparativa per conferimento di 1 incarico di collaborazione esterna occasionale: "Servizio di counseling per le studentesse e gli studenti dell’Università del Piemonte Orientale (UPO) e gruppi di Mindfulness" - prof.ssa Zeppegno

Stato Scaduto

Tipologia Bando Bando

Bando 02/2025 procedura comparativa per conferimento di 1 incarico di collaborazione esterna occasionale "Servizio di counseling per le studentesse e gli studenti dell’Università del Piemonte Orientale (UPO) e gruppi di psicoterapia" - prof.ssa Zeppegno

Stato Scaduto

Tipologia Bando Bando